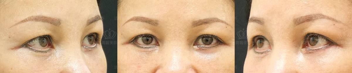
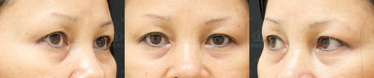
眼袋外開
術後1個月

▲術前

▲術後
術後3個月

▲術前

▲術後
手術流程及特色
手術醫師術前評估及諮詢
進行醫療手術前,為了避免手術風險,醫師會仔細的諮詢及評估,確保您的身心狀況適合進行手術。
術前麻醉抽血檢驗評估
術前將抽取您的血液進行精密檢驗,以了解您的身體狀況是否適合進行手術及麻醉,保障您的生命安全。
醫護人員術前衛教
法喬醫護人員將於手術前仔細說明手術注意事項,包含手術可能引起的併發症、風險及術後如何照護,說明當中若有任何疑問,可以詢問我們的醫護人員。
完善醫療設備,具公信力單位認證
法喬醫美診所榮獲醫策會美容醫學品質認證,通過專業醫療人員資格、麻醉醫師及安全規範、手術安全流程、醫療環境安全、消防及感染管制、顧客服務等多項標準,提供「安全且誠信」的醫療環境給每一位顧客。
合格醫師
法喬醫美的手術醫師皆擁有專業的執照與專科醫師訓練,並定期赴海內外參加研討會及進修,手術經驗豐富。
眼部手術適應症與禁忌症
接受上下眼瞼整形手術之病情說明
適應症
- 眼皮浮腫或脂肪鬆弛者。
- 先天性垂臉或不對稱者。
- 欲改善眼瞼外觀者。
併發症及後遺症發生機率及處理方法(包含如下但不在此限)
- 血腫或手術後再出血。
- 傷口感染、疤痕增生肥厚或攣縮。
- 眼睛異物感或流淚。
- 縫線鬆移、脫出、甚至雙眼皮不明顯或消失之現象。
- 眼瞼整形手術者,術後可能因疤痕反應造成眼瞼外翻或雙眼不對稱之一時性現象,此多半會在術後半年左右,疤痕穩定後逐漸改善。
- 術後初期,可能因眼瞼腫脹造成複視或視力模糊,多半在術後 1 至 2 天逐漸改善。
- 少數病人有眼球後積血壓迫眼球的現象。 ( 術後眼球後積血並造成視覺喪失, 0.0045%術後眼球後積血並造成永久性視覺喪失; Ophthal Plast Reconstr Surg. 2004;20:426 432) 。暫時或永久性複視 (0.2%;Ann Ophthalmol.)
- 其他偶發病變及併發症。
術後復原期可能發生的問題
- 眼瞼腫脹及瘀血:每小時冰敷 10 至 20 分鐘(時間以可忍受為主勿勉強)可能減輕傷口血腫及疼痛感。
- 血腫:術後請勿低頭或用力做事, 以免血壓上升或眼瞼充血而引發血腫。
- 傷口癒合不良:勿食辛辣、酒等刺激性食物,勿抽菸或吸二手菸,生活作息盡量正常,以免傷口癒合不好。傷口須按時換藥照護。
- 疤痕:傷口癒合後的疤痕為粉紅色。須經3至6個月的照顧按摩淡化。
- 由醫師安排回診拆線時間,如傷口有大量出血、嚴重疼痛、局部發炎或身體不適,請儘速到醫院就醫。
術前注意事項
- 選擇可信賴的醫療單位或醫師進行手術。
- 充分了解眼部手術的有關常識。
- 術前術後請盡量避免吸菸,以免造成血管收縮,影響傷口癒合。
- 術前術後7天,請暫停服用阿斯匹靈/其他類似藥物、銀杏類/增加血液循環、維他命E之保健食品,避免增加出血的問題。
- 多吃蔬果,增加纖維素與維他命C的攝取,增加傷口癒合力。
- 手術前一天晚上,若醫師有開立處方藥物,請記得服用。
- 若是選擇睡眠麻醉,請在手術前禁食8小時。
術後注意事項
- 飲食:術後至拆線前,宜清淡且暫時採低鹽分飲食,多攝取高營養、高蛋白質食物,以促進傷口癒合,多補充水分電解質,幫助體內恢復,並請避免吸菸(包括二手菸)、酒精、辛辣等刺激性食物,帶殼海鮮類及進補也盡量避免。
- 請按時服用口服藥,否則易導致傷口感染。
- 冷熱敷方式:冰敷消腫,冰敷時間隔1小時1次,每次10-20分鐘,1天約7-8次,請持續三天,第四天改成溫熱敷,熱敷的溫度應保持在40~45度為宜,但還是要考量到個體差異,每次可進行15~20分鐘,每天可重複3~4次。
- 眼袋內開:外觀並無傷口,採滴眼藥水,一天四次,兩眼各一滴,只點四天。
- 為預防眼瞼腫脹,請盡量睡前少喝水;休息時請採半坐臥式或墊高頭部,多做睜開眼皮的動作。
- 術後至拆線前,日常生活請避免做突然彎腰、低頭、打噴嚏、三溫暖、用力抬重物或跑步等劇烈運動。且三週內眼周勿做用力按摩的動作。
- 術後請依照醫師及醫護人員的叮嚀,並按診所為您安排的回診時間回診
其他補充說明
- 每次手術費用,均以當次手術為限,如須再次手術或後續治療時,費用將另行採計。各項費用之收費項目及金額,均已明確告知。
- 此手術非屬急迫性質,不於說明當日進行,應經充分時間考慮後再決定施作與否。
- 有抽菸者,最好請先戒菸兩週以上 ,因抽菸會抑制血流到皮膚,影響傷口癒合。
- 有服用抗凝血藥物,請與內科醫師討論後,停藥 1 2 週,以免造成凝血異常,影響傷口癒合 。
- 眉毛、眼皮、眼頭、眼尾、鼻孔、鼻翼、耳朵、乳房、乳頭、乳暈為雙側性部位,皆具備生理之正常差異特性,不會完全一樣,術後可能會因此種生理正常差異性、腫脹程度不一或疤痕攣縮程度不一等等原因,而造成雙側性部位出現不完全一樣之外觀。若該不完全一樣之外觀是屬正常生理差異性範圍內,則不需、也不應該要求醫師再次手術,但若呈現明顯差異性,則才可要求醫師再次手術調整成正常生理差異之對稱性。
- 眼睛閉合不全雙眼皮及提眼瞼肌術後常發生暫時性眼睛閉合不全問題約二週到數月即可慢慢回復,發生期間請加強保濕,減少水分流失,例如:點眼藥水或藥膏,睡前使用眼罩 。
- 術後眼睛不自然 、 兩眼不對稱:術後可能因腫脹或疤痕問題,造成兩眼暫時性的不自然或不對稱,建議等 3至 6 個月,待疤痕軟化或完全消腫再做最後評估,通常雙眼不對稱需要進行二次修復的機率為 5%,人的器官多有天生性生理不對稱,加上大多是疤痕收縮造成。此為不可控制之因素,病患並無法要求雙眼 一定必須 100 %完全對稱 。
- 結膜水腫及乾澀問題:眼部手術常發生,約數週即可慢慢回復。
- 眼球周圍的整形手術,少數可能會影響眼球深部血管或神經,導致眼球及眼皮運動失調、視力不良、模糊或失明。返家後若有出現視力模糊問題,請立即返院回診。
- 各項美容整形手術的術前準備(包括消毒、麻醉、手術劃線的標定等)及術後處置工作(包括傷口縫合、包紮等),皆會視手術狀況,在主治醫師督導下,委由相關人員做專業的處理,以發揮團隊精神,提升手術效率及品質
- 抽菸可能會增加術後感染機率及導致傷口癒合不佳情形,故建議手術後最少應戒菸 3 - 6 個月。
- 術後醫師會開立口服抗生素、止痛藥及抗生素藥膏, 請按時使用。術後服用抗生素期間,如有腹瀉或其他不適情形,請回診評估是否須要更換藥物。
- 割雙眼皮併眼瞼肌提拉術因同時處理眼皮摺痕與提眼眼肌,術後可能會出現暫時性上眼皮閉合不全之情況。
- 割雙眼皮併眼瞼肌提拉術後一個月可能會出現雙眼皮摺痕變淺或不明顯的情形,可於術後 3 個月再做上眼皮修皮手術。
※注意事項:特殊病史,高血壓,高血壓史,懷孕,嚴重糖尿病,療程期間有妊娠計畫,肝腎功能損害,免疫系統異常等,或其他經醫師判斷不適合此療程者。
※法喬醫美診所提醒您:任何手術或療程合併本身的風險,此處僅作為輔助診療說明與衛生教育,並非每個人都適合,實際仍須由醫師當面與您進行評估溝通,請親自與醫師當面進行評估診斷,了解相關適應症,禁忌症,再決定是否進行醫療處置。